ほとんどの歯が浮いている状態で、歯を噛みしめることができないということで来院されました。
ヘビースモーカーであったために、禁煙してもらい、歯のクリーニングやブラッシング指導後、およそ2年間かけて左上犬歯と左下第一小臼歯以外すべての歯を抜歯し、インプラントの埋入手術を行いました。左右上顎臼歯部はサイナスリフトなどを併用し、インプラントによる咬合の再構築を試みました。
| 術後パノラマ写真および口腔内写真 |
 |
 |
 |
私に万が一、不測の事態が生じた時は、インプラント手術でお世話になった藤井先生にも参列して頂き、医学・学術的に何か役に立てていただく事があれば幸に存じます。
(尚このことは、決して強制するものではありません)
術前は硬いものが噛めませんでしたが術後は食生活が変わり、快適な日々を過ごすことが出来ました、ありがとうございました。
平成18年1月15日記
|
- 治療終了後20年は、この状態で生活して戴けるものと信じておりましたが、平成18年5月25日白血病のため永眠されました。
- ご逝去後、ご家族より「ベットの下にこのような走り書きがありました。」とメモを戴きました。
- ご家族と相談の上、ホームページに掲載し、私自身の戒めにさせて頂くことにしました。
- 謹んでご冥福をお祈りいたします。
|
左上第二小臼歯破折による痛みがあり来院されましたが、下顎左右の大臼歯の欠損により、後方の歯が手前に傾斜、上顎大臼歯の挺出、噛み合わせのバランスが崩れてしまっていました。下顎大臼歯にインプラントを埋入することにより咬合は回復しました。挺出した上顎大臼歯は、クラウンをかぶせましたが、歯が欠損した時点ですぐ治療をしていれば、上の歯の治療は行わず最小限の治療にとどめられたでしょう。
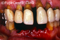
| 補綴物(クラウン)装着時口腔内写真 |
 |
 |
他院にて抜歯、歯を削らずに治療を希望ということで来院されました。インプラント埋入後、8週程度で補綴物を(クラウン)装着。経過観察を行いました。治療後も、虫歯や歯周病を予防するため、唾液検査を行い、予防プログラムを作成して、定期的に検査をしています。
| 初診時口腔内写真およびインプラント埋入後パノラマ写真 |
 |
 |
| 補綴物(クラウン)装着後および経過写真 |
 |
 |
 |
| 唾液検査キット |
唾液検査の一例 |
フッ化物プログラムの一例 |
|